[喜讯]国丹中医院新进四维彩超一台,预约即做,
来源:中山国丹中医院 时间:2020-10-29
好消息!好消息!!好消息!!!准妈妈们在国丹做四维彩超检查,不用排队了,国丹中医院新引进一台四维彩超机,也就是现在国丹中医院现在有两台四维彩超机,有需要的朋友们,再也不要受到排队的困扰了。

Volsuon领先的解决方案,赋能基层医疗机构
盆底功能障碍解决方案
Voluson遵循国际标准的专业盆底成像技术+GE妇产超声专业应用团队,助力基层医院开展新技术,为盆底功能障碍患者提供诊断,追踪监测及术后评估。

早孕期产前筛查解决方案
Voluson专注妇产超声70年,扎实的专业基础研究,为产筛提供多项领先技术,为医生带来全新使用体验,为孕妇提供最佳关爱。SonoNT及Voluson系列产筛技术,可以提早到早孕期发现胎儿畸形。早发现,早治疗提高出生人口素质,助力健康中国愿景。

四维容积超声解决方案
Voluson 30年前发明了三维成像,一直持续创新,不断扩展四维超声的应用范围及适应症,一直在引领三维/四维容积发展方向。
胎儿四维成像

子宫容积成像

卵巢容积成像

腹部容积成像

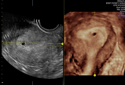
什么是四维彩超?
也就是4D超声波技术,是目前世界上最先进的彩色超声技术。四维成像技术(4D),能直观、立体显示人体器官的三维结构及动态、实时地观察立体结构,而以往的二维成像技术只能显示人体器官的某一切面。

四维彩超的优势
四维彩超能够对胎儿进行超声检查,立体显示胎儿的手脚、脸、各器官的发育情况,还可以观察到胎儿在母体里的动态,对胎儿畸形,如唇裂、腭裂、骨骼发育异常、心血管畸形等能进行早期诊断。
准妈妈做四维彩超 高效筛畸优生优育
功能科服务多年来检测出胸腔积液、腹腔积液、先天性心脏病、脑积水、唇裂、脉络丛囊肿、NT增厚等等各种病症
另外,减少出生缺陷,预防比治病更重要。四维彩超排畸检查是孕前排查胎儿畸形的关键一步,提醒准妈妈们,预防新生儿出生缺陷四维彩超检查必不可少!

四维彩超可诊断:
● 1、胎儿面部畸形:如唇腭裂等。
● 2、神经系统:无脑儿、脑积水、小头畸形、脊柱裂及脑脊膜膨出。
● 3、消化系统:脐部肠膨出、内脏外翻、肠道闭锁及巨结肠等。
● 4、泌尿系统:肾积水、多囊肾及巨膀胱、尿道梗阻。
● 5、其它畸形:短肢畸形,联体畸形,唇裂、四心腔。
● 6、羊水过多、过少等。

四维彩超检测最佳时间:
第一次检查:
时间在怀孕3-4月为宜
这段时间可以观察宝宝的整体状况,也可以很清楚看到宝宝的头、四肢和身体等;
第二次检查:
时间在怀孕5-6月为宜
这段时间主要检测宝宝身体是否畸形,胎儿的局部结构和运动状态都比较清晰;
第三次检查:
时间在怀孕7-8月为宜
这段时间宝宝的皮下组织较饱满,面部的表情也丰富,同时也为分娩做好准备;

医院荣誉
网络预约挂号平台
>>>挂号系统严格加密,保障您的信息安全 <<<
医院地址:广东省中山市火炬开发区沙边路3号
咨询电话: 0760-8858 8386 (24小时)
工信部备案:
粤ICP备15087604号
粤公网安备:
44200002443324
医疗广告审查证明文号:(粤T)(中)医广(2025)第08-13-36号
©2026中山市国丹中医院 版权所有